In der ATOS Klinik Wiesbaden GmbH verhilft Herr Dr. med. Markus Preis seinen Patienten tagtäglich zurück in einen gesunden Alltag. Als einer unserer DVT-Pioniere ließ der Facharzt für Orthopädie, Rheumatologie, Sportmedizin und Chirotherapie die SCS Bildgebung bereits 2016 implementieren. Er blickt auf eine langjährige Erfahrung mit der innovativen 3D-Schnittbildgebung zurück und ist zusätzlich als Mentor tätig.
Bei traumatischen Verletzungen, insbesondere im Hand- und Fußbereich, ist eine sichere Frakturdiagnostik durch die Beurteilung eines konventionellen zweidimensionalen Röntgenbildes häufig sehr schwierig. Dies ist bei der Projektionsradiographie der physikalischen Abbildung dreidimensionaler Objekte auf eine zweidimensionale Ebene als ein sogenanntes Summationsbild geschuldet. Gemäß Literatur wird z. B. im Handgelenksbereich mit durchschnittlich 47 % (Rater Bereich 33–60 %) der Skaphoidverletzungen eine Fraktur übersehen.
Dies bildet die Grundlage der Forderung in der Leitlinie für die Therapie der Skaphoidfrakturen, Schnittbildverfahren wie CT und MRT frühzeitig einzusetzen. Diese sollten insbesondere zur Anwendung kommen, wenn ein adäquates Trauma stattgefunden hat, eine entsprechende Klinik eine Fraktur vermuten lässt und die konventionellen Röntgenaufnahmen keinen oder nur einen fraglichen Frakturnachweis ergeben haben. Die Sensitivität des CT bei der Frakturdiagnostik liegt bei 85–95 % und beim MRT sogar bei 100 %. Mit einer Spezifität zwischen 95 % bis 100 % erhält man im Rahmen einer CT-Untersuchung eine exaktere anatomische Darstellung im Vergleich zu 80–90 % mit einer MRT-Untersuchung. Auch für die Beurteilung des knöchernen Durchbauungsgrades ist eine CT-Untersuchung der Projektionsradiographie überlegen.
Vor diesem Hintergrund muss jedoch berücksichtigt werden, dass in Deutschland die höchste Strahlenexposition auf die Bevölkerung durch CT-Untersuchungen verursacht werden. In Deutschland werden über 11 Millionen CT-Untersuchungen jährlich indiziert und durchgeführt. Die Tendenz ist weiter steigend, was allgemein auch dahingehend in Bezug auf das zunehmende Bewusstsein interpretiert werden kann, dass die Beurteilung von dreidimensionalen Objekten auch in drei Dimensionen erfolgen muss. Ca. 9 % aller diagnostischen Untersuchungen mit ionisierender Strahlung beruhen auf CT-Untersuchungen. Somit lassen sich über 60 % der kollektiven effektiven Dosis auf eine medizinische Strahlenexpositionen durch Computertomographien zurückfuhren.
Außerdem wurden die ursprünglich in der Röntgenverordnung enthaltenen Forderungen in das neue Strahlenschutzgesetz (§6 Abs. 1, §8 Abs. 2 und §83 Abs. 3) aufgenommen, wodurch eine gesetzlich verankerte Verpflichtung zur Anwendung des „ALARA“ Prinzips („As Low As Reasonably Achievable“), zu dt. „so viel Strahlung wie nötig, so gering wie möglich“, vorliegt. Damit haben aufgrund der steigenden CT-Untersuchungen die Strahlenexposition und das Strahlenrisiko für die Patientinnen und Patienten deutlich an strafrechtlicher Bedeutung gewonnen.
Die rechtfertigende Indikation hat einen hohen Einfluss darauf, auf Basis welcher Fragestellung eine CT-Untersuchung durchgeführt werden soll und darf. Verschiedenste Faktoren wie technischer Fortschritt, gezieltes Dosismonitoring sowie Analysen der Dosisdaten können die Strahlendosis für die Patientinnen und Patienten bei völlig ausreichender Bildqualität verringern.

Nur die Technologie des SCS MedSeries® H22 ermöglicht es, dass die digitale Volumentomographie (auch DVT oder Cone Beam CT genannt) hier nun einen wesentlichen Beitrag leistet, diese gesetzlichen Forderungen zu erfüllen.
Das aktuelle SULD (Super-Ultra-Low-Dose) Protokoll dieser Lösung zeigt eine resultierende Strahlendosis, die unterhalb der Exposition einer 2D-Röntgenaufnahme in 2 Ebenen liegt. Bei der 2-D-Röntgenuntersuchung bspw. eines OSG wird der Patient einer effektiven Dosis von 1,5 μSv ausgesetzt. Eine CT-Untersuchung bedeutet eine Exposition von 21,5 μSv. Dem gegenüber steht die Untersuchung mittels 3D-Bildgebung mit nur 1,4 μSv Exposition.
Die Überlegenheit der Schnittbildverfahren gegenüber dem 2D-Projektionsröntgen in der Frakturdetektion, Beurteilung und Durchbauungskontrolle ist in zahlreichen Studien nachgewiesen. Hinzu kommt nun der Faktor der Reduktion der Strahlenexposition unterhalb des konventionellen Röntgens durch das DVT. Das neuste – aktuell in der Zertifizierung befindliche – Protokoll des DVT mit der Bezeichnung SULD+ ist in der Lage auch diese Dosis signifikant noch weiter zu reduzieren. Der Datensatz der 3D Schnittbildgebung ermöglicht zusätzlich die Erstellung virtueller Röntgenbilder in so vielen Ebenen, wie vom Untersucher benötigt werden, ohne eine weitere Strahlenexposition für den Patienten. Dies ist v. a. ein sehr wichtiger Faktor in der Beurteilung von knöchernen Strukturen bei Kindern und Jugendlichen.
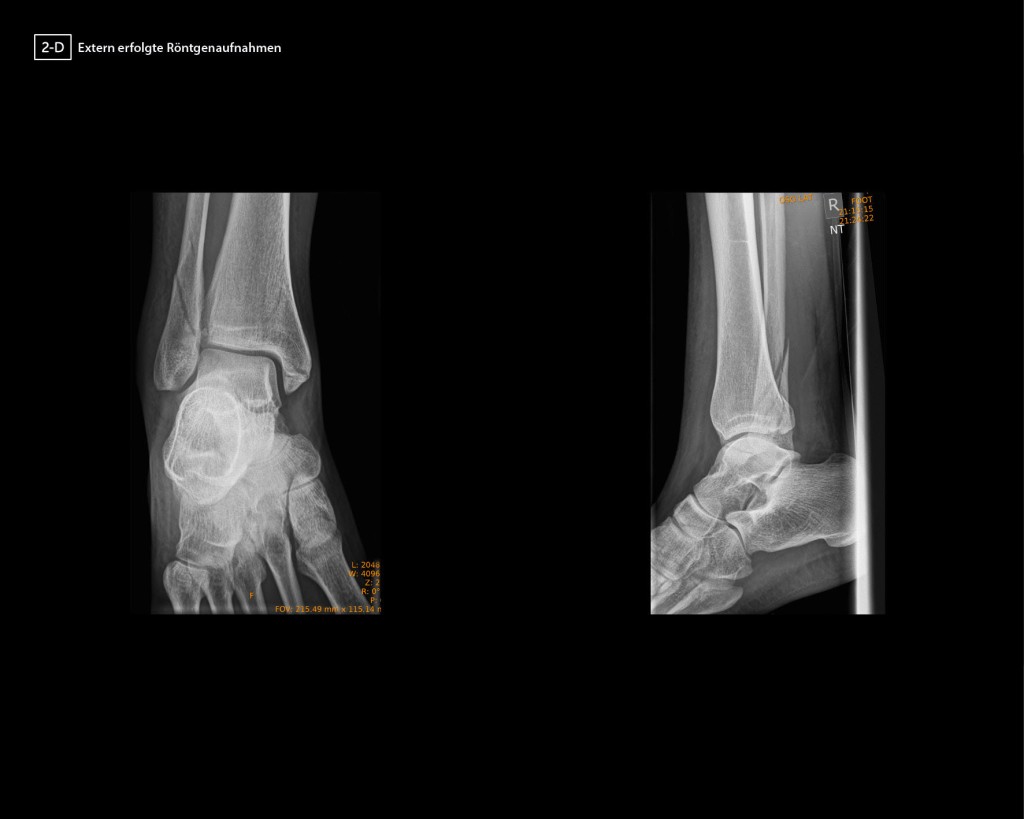
Vor den genannten Hintergründen ist das SCS DVT in der ATOS Klinik Wiesbaden fester Bestandteil des Diagnostikspektrums und wird auf Basis der beschriebenen Strahlenhygiene häufig mit dem SULD-Protokoll als Primärdiagnostik angewendet. Der Autor kann auf mehr als 11 Jahre Anwendungserfahrung zurückgreifen und von unzähligen Fällen berichten, in denen das DVT die entscheidenden Informationen zur Therapieplanung beigetragen hat. Beispielhaft soll dazu nachfolgend ein Fall vorgestellt werden. In dem dargestellten Fall zeigten die extern angefertigten 2-D-Röntgenbilder einer 27-jährigen Frau nach einem Distorsionstrauma eine Mehrfragmentfraktur der distalen Fibula mit fraglicher Beteiligung der Syndesmose, eine Fraktur des hinteren Volkmanndreiecks <1/4 der Gelenkfläche, sowie eine Fraktur des medialen Malleolus. In der AP-Projektion kommt eine Aufhellungslinie im Bereich der medialen Tibia zur Darstellung, die nicht exakt zuzuordnen ist und in der seitlichen Ebene kein entsprechendes Korrelat zeigt (Abb. 1).

Unter Berücksichtigung der oben aufgeführten Indikation und Anwendung der genannten Leitlinie für die Skaphoidfraktur bestand hier die Indikation zur weiteren Diagnostik, um das Ausmaß der Frakturen und die Stellung entsprechend beurteilen zu können.
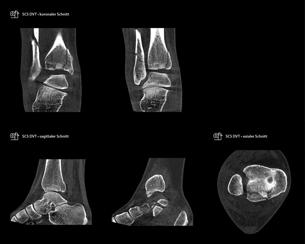
Die Untersuchung mit dem SCS DVT zeigte einen gravierenderen Befund, der auch Einfluss auf die Indikation des operativen Verfahrens hat. Es bestätigte sich die Mehrfragmentfraktur der distalen Fibula, sowie die Innenknöchelfraktur. Entscheidend ist aber die Möglichkeit der exakten Beurteilung der dorsalen Frakturen der Tibia. Diese sind aufgrund der Summation im konventionellen Röntgen nicht zu erkennen gewesen. Neben der Fraktur des Volkmann-Dreiecks mit entsprechender Instabilität der dorsalen Syndesmose zeigt sich eine Impression eines Gelenkfragmentes und eine Fraktur der dorsomedialen Tibia (Abb. 2–4). Die gesamte effektive Strahlendosis betrug 1,5 μSv für das 2-D-Röntgen + 1,4 μSv für das DVT im SULD-Protokoll, insgesamt 2,9 μSv. Bei einer konventionellen CT-Untersuchung wären es 1,5 μSv + 21,4 μSv = 22,9 μSv gewesen. Bei einer sofortigen Untersuchung mit dem DVT hätte die Dosis 1,4 μSv betragen. Aufgrund dieser komplexen Verletzungsmuster bestand die Indikation zur Operation in Bauchlage zur Versorgung der dorsalen Frakturen der Tibia und Fibula über einen dorsolateralen Zugang sowie perkutan zur Verschraubung des medialen Malleolus.

Der digitale Volumentomograph SCS MedSeries® H22 ermöglicht eine sofortige adäquate Bildgebung mit der Darstellung in 2-D, 3-D und Schnittbildern bis zu einer Schichtdicke von 0,2 mm. Dabei wird der Patient einer effektiven Strahlendosis ausgesetzt, die im SULD-Protokoll unterhalb der Exposition eines 2-D-Röntgens in 2 Ebenen liegt. Diese exakte Diagnostik in der Hand des DVT-fachkundigen Orthopäden, Chirurgen und Unfallchirurgen im Rahmen von Verletzungen führt zu einer unmittelbar verfügbaren Diagnose, auf deren Basis schnellstmöglich eine optimale Therapie eingeleitet werden kann. Im klinischen Verlauf ermöglicht die dieses Diagnoseverfahren eine exakte Beurteilung der Durchbauung der Frakturen, da die entsprechenden Algorithmen eine artefaktarme Darstellung der Implantate samt Beurteilung der Grenzflächen ermöglicht.

Literatur beim Verfasser
Dr. med. M. Preis
Chefarzt ATOS Klinik Wiesbaden
Arzt für Orthopädie, Rheumatologie, Sportmedizin, Chirotherapie, spezielle Fuß- und Sprunggelenkchirurgie
D.A.F./DGOU
Radiologische Diagnostik Skelett, DVT-Fachkunde
Zentrum der Maximalversorgung Fuß und Sprunggelenk – ZFS MAX
www.atos-kliniken.com
Sie haben Fragen zur innovativen SCS Bildgebung?
Wir begleiten Sie von Anfang an und unterstützen Ihre Transformation von der 2D- auf die moderne 3D-Diagnostik. Ihnen steht jederzeit ein persönlicher Ansprechpartner für alle Fragen zum technischen, wirtschaftlichen und medizinischen Betrieb zur Verfügung. Lassen Sie sich in einem ersten, etwa 15-minütigen Telefonat beraten. Wir zeigen Ihnen die Möglichkeiten dieser hochmodernen Lösung auf.






